-
-
10年、20年後のトラブルも対応
全額負担の永久保証
インプラント治療は外科治療のため、万全を期しても時間が経過してから問題が出るというリスクはゼロではありません。
当クリニックでは、
インプラント本体に万が一トラブルがあった場合の永久保証を行っています。
費用は当クリニックが全額負担させていただきます。治療内容に自信があるからこそ実現するサービスです。
※インプラント治療後、当院指定期間内に定期検診を受診されない方は、保証対象外となります。
10年、20年後のトラブルも対応
全額負担の永久保証
※インプラント治療後、当院指定期間内に定期検診を受診されない方は、保証対象外となります。
-
-
土台や被せ物、治療にかかる費用は
全てコミコミ価格
他院では追加費用を取られることの多い、インプラント本体、土台、被せ物、CT撮影、お薬代、永久保証等々が全て含まれたコミコミ価格です。分かりやすい明朗会計を目指しています。
土台や被せ物、治療にかかる費用は
全てコミコミ価格
-
-
各分野のスペシャリストが集結
専門医によるハイレベル治療
治療は100%認定専門医が担当。他クリニックでは断られてしまうような難しい症例であっても手術可能な場合があります。本町通りデンタルクリニックに是非一度ご相談下さい。
各分野のスペシャリストが集結
専門医によるハイレベル治療
それぞれ強みを持った
ドクターが治療を担当
インプラント先進国アメリカで経験を積んだ各分野のスペシャリストがインプラント治療・アフターケアを行います。
様々な難症例も解決
インプラント資格保持者
吉野 修二
院長 インプラント専門医 / 歯科医師 / 歯学修士
AAID認定医(American Academy of Implant Dentistry)米国
インプラント歯科学会在籍
- 経歴を詳しく見る
-
-
2003年
大阪歯科大学卒業 奈良県立医科大学口腔外科学講座 入局
-
2006年
米国ロマリンダ大学歯学部 インプラント科インターンコース 入局
-
2009年
米国ロマリンダ大学歯学部インプラント科専門医コース 入局
-
2012年
ロマリンダ大学インプラント科にて修士号(MSD)取得
-
2012年
本町通りデンタルクリニック開業
-
米国仕込みの
インプラント治療技術力
西本 美奈
インプラント専門医 / 歯科医師 / 歯学修士
AAID認定医(American Academy of Implant Dentistry)
日米歯科医師免許所持
- 経歴を詳しく見る
-
-
2002年
大阪大学歯学部卒業(弓倉賞)
-
2002年
医療法人 岡田歯科勤務
-
2010年
医療法人 佐藤歯科勤務
-
2015年
米国ロマリンダ大学歯学部インプラント科大学院 卒業
米国歯科医師免許取得 -
2016年
米国ロマリンダ大学歯学修士取得
-
2018年
本町通りデンタルクリニック 勤務
-
歯周病学会が認める
歯周病専門医
髙橋 貫之
歯周病専門医 / 保存学専門医
歯科医師 / 歯学博士 日本歯周病学会専門医 / 日本臨床歯周病学会認定医
- 経歴を詳しく見る
-
-
2003年3月
大阪歯科大学 卒業
-
2003年4月
大阪歯科大学 大学院歯学研究科博士課程 入学(歯周病学専攻)
-
2007年3月
大阪歯科大学 大学院歯学研究科博士課程 終了
-
2008年4月
大阪歯科大学 勤務(歯周病学 助教)
-
2011年5月
日本歯周病学会認定医 取得
-
2013年6月
日本歯科保存学会認定医 取得
-
2014年4月
歯科医師臨床研修指導医 取得
-
2014年5月
日本歯周病学会専門医 取得
-
2016年3月
日本臨床歯周病学会認定医 取得
-
2016年3月
大阪歯科大学(歯周病学 助教)退職
-
2016年4月
本町通りデンタルクリニック 勤務
-
2018年
日本歯科保存学会専門医 取得
-
2022年
大阪歯科大学大学院歯学研究科非常勤講師(歯周病学)
-
-
-
怖がりさんでも大丈夫
痛みに最大限配慮
「インプラント手術の痛みが心配…」そんな患者様が実に多くいらっしゃいます。そこで当院では、そのようなお声に寄り添い、できるだけ痛みの出ない治療をすることに最善を尽くしています。
怖がりさんでも大丈夫
痛みに最大限配慮
-
-
技工士と医師が密に連携
歯科技工室を併設
院内に歯科技工室を併設して、患者様と直接コミュニケーションを取り、より良い被せ物を作るチーム体制を整えています。発注や輸送といった工程を削減するため、ハイクオリティのままコスト削減・スケジュール短縮に繋がります。
技工士と医師が密に連携
歯科技工室を併設
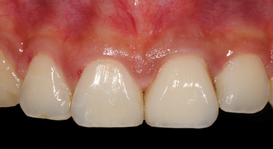
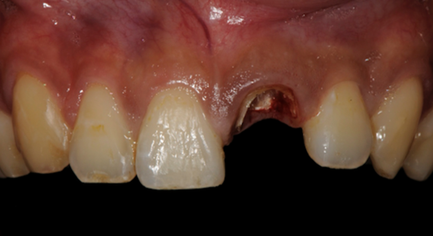
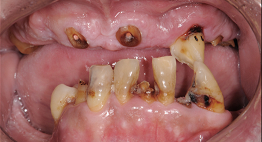
症例事例
FLOW
-
最適なインプラント治療を受けていただく為にお悩みやご要望をお聞かせください。状態を知るために無料でレントゲン撮影を行い治療方法のご提案、ご説明をさせて頂きます。
-
CT撮影
当医院では最新のCT撮影を行うことができます。
患者様の骨の状態を正しく把握するため、CTを使用して三次元的に骨の状態を撮影します。
-
インプラント埋入手術
顎の状態に合わせたインプラント埋入手術を行います。骨量が足りない場合は、骨誘導再生法や上顎洞底挙上術などの手術をご提案します。
-
被せ物の型取り
インプラントと骨の結合を約3ヶ月待った後に、インプラントに取り付ける被せ物の型を取ります。
-
被せ物の装着
インプラント上部に、高品質なセラミックの被せ歯(クラウン)を取り付け、かみ合わせ等を調整し、治療完了です。
-
アフターフォロー
治療完了後は数ヶ月に一度の定期健診で、歯や骨、歯茎の状態を丁寧にチェックします。その際に行う歯茎マッサージも好評です。
よくあるご質問
FAQ
-
インプラントの素材は何ですか?インプラント治療には金属の人口歯根とジルコニアやセラミックからできている義歯が使用されます。歯根部分の金属にはアレルギーを起こしにくいチタン合金が使われます。しかし、チタンにアレルギー反応を示す患者様もいるため、治療の前にはアレルギーを起こさないかの確認を行うことをおすすめしています。
-
治療にかかる期間は
どのぐらいですか?インプラント治療は一般的に3か月から10ヶ月の治療期間が必要になります。 -
骨が不足していると他院でインプラント治療を断られました。他院でインプラント治療を断られた場合であっても、当院では治療が可能な場合があります。少なくなってしまった骨を充填してインプラント治療を行う方法もありますので、一度実際にご相談下さい。
-
歯周病がある人でもインプラント 治療が可能ですか?歯周病は歯が抜けてしまう理由のひとつであり、インプラント治療を行う前に、歯周病の症状を改善する必要があります。歯周病を改善しないと、せっかく入れたインプラントも抜けてしまう可能性があります。当院には、歯周病専門医が在籍しています。インプラント治療ご希望の患者様に、必ず歯周病治療をご案内し、歯周病完治後にインプラント治療をおうけいただくことができます。
-
インプラントはどのぐらい持続使用することが出来ますか?インプラント治療は他の治療方法と比較しても、長期間に渡り継続的に使用することが出来ます。しっかりと定期的なメンテナンスを行い、ケアを怠らなければ、インプラント治療は一般的には10年以上の長きにわたって使い続けられる息の長い治療法です。さらに当院では「生涯に渡ってのかかりつけ医でいたい」という理念のもと、永久保証をおつけし、一生涯、インプラントをお使いいただけるように考え実践しています。
-
術後はすぐに日常生活が
過ごせますか?個人差はありますが、多少の痛みや違和感が出ても施術直後だけですぐにおさまります。手術直後はアルコール、喫煙、激しい運動、長湯などは控えて頂くようお願いしております。 -
手術の痛みはどの程度ですか?痛みは個人差がありますが、多くの患者様より抜歯時より痛くないとお声をいただきます。それでも痛みが不安な方には、鎮痛剤やより痛みを感じない麻酔法をご案内します。寝ている間に手術が終わっているような手術プランもご提供できます。
クリニック紹介
〒541-0053
大阪府大阪市中央区本町2丁目6-5
(本町駅下車、本町通沿い)
本町通りデンタルクリニック
〒541-0053
大阪府大阪市中央区本町2丁目6-5
(本町駅下車、本町通沿い)
御堂筋線「本町駅」7番出口から徒歩3〜4分
診察時間
院長紹介







